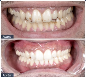
Blanchissement

DENTAL EXPERT
heureux patient!