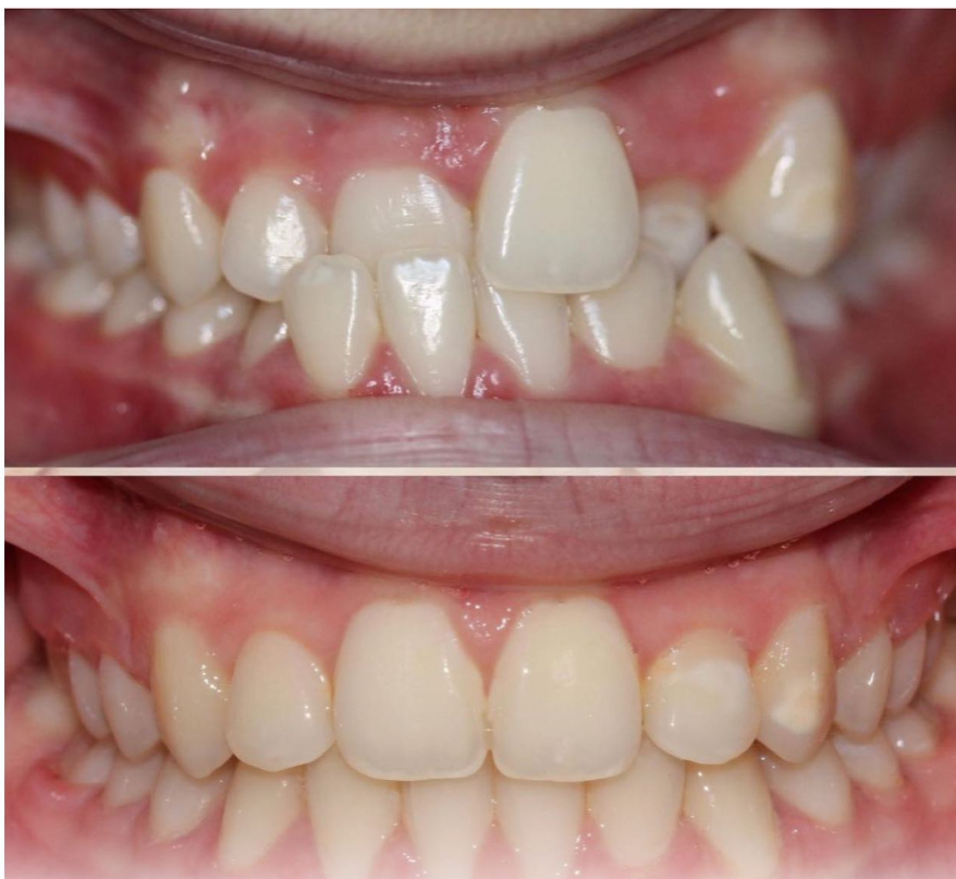
Traitement de plaque transparente (Invisalign)

DENTAL EXPERT
Une méthode de traitement orthodontique sans fil, dans laquelle des gouttières transparentes sont utilisées comme alternative aux broches conventionnelles, a été développée.